| Antibody Type | Mouse Monoclonal Antibody |
|---|---|
| Calculated MW | 20kDa |
| Clone ID | 11C2 |
| Concentration | 1mg/ml |
| Immunogen | Recombinant protein of human COX4I2 |
| Isotype | lgG |
| Note | Optimal concentrations/dilutions should be determined by the end user. |
| Observed MW | 17kDa |
| Purification | Protein A purification |
| Reactivity | Human/Mouse/Rat |
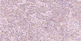
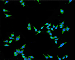
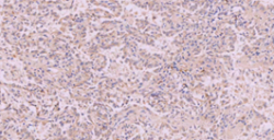
| Recommended Dilutions | WB 1:5000-50000 IF 1:200-1:500 IHC 1:200-1:5000 |
| Storage | Avoid repeated freeze-thaw cycles., store at -20℃ Valid for one year |
| Storage Buffer | PBS buffer with 0.02% sodium azide and 50% glycerol pH7.3 |
| Tested Applications | ELISA, IF, IHC, WB |
| Uniprot | Q96KJ9 |
| Size | 100μL, 50μL |
相关产品
¥880.00
¥880.00
¥1,980.00
¥1,980.00
¥880.00
¥880.00
¥880.00
¥880.00




